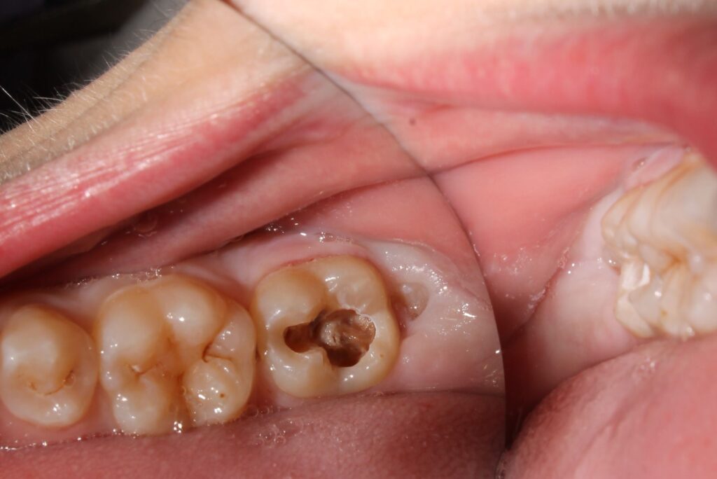
Una caries profunda puede parecer un simple problema dental, pero en realidad es una señal de que el daño ha avanzado más de lo que imaginamos. Cuando el esmalte y la dentina dejan de proteger el interior del diente, el nervio queda expuesto y el dolor aparece de forma repentina. Las muelas son las más vulnerables, por su tamaño y las fisuras que acumulan restos de comida y bacterias. Detectarla a tiempo es clave para evitar tratamientos complejos y conservar la pieza natural.
Desde Clínica Dental Gilardi Tornero, tu clínica dental en Torrent, te explicamos todo lo que debes saber para cuidar tu salud bucodental y mantener tus dientes fuertes por más tiempo.
¿Qué es una caries profunda?
Una caries dental profunda es una lesión avanzada del diente que afecta las capas internas, llegando hasta la pulpa o quedando muy cerca de ella. Se origina por la acción continua de las bacterias que producen ácidos capaces de atravesar el esmalte y la dentina. Cuando esto sucede, el nervio puede irritarse e inflamarse, causando molestias intensas y sensibilidad.
A diferencia de las caries superficiales, que se limitan al esmalte, en este tipo de daño la estructura dental se debilita de forma considerable. Por eso, cuanto antes se trate, más probabilidades hay de conservar la muela y evitar la extracción o la infección del nervio.
¿Cuál es la diferencia entre una caries común y una caries profunda?
Una muela con caries profunda se diferencia de una común por la extensión del daño y la intensidad de los síntomas. En las caries iniciales, el esmalte es el único afectado, y un empaste suele ser suficiente para frenar el problema. En cambio, cuando la lesión llega a la dentina o la pulpa, el dolor se vuelve constante y puede aparecer incluso sin estímulo externo.
Además, la reparación es más compleja, mientras que una leve se trata con una obturación simple, una profunda puede necesitar una endodoncia para eliminar la infección y sellar el interior del diente. Este tipo de afección, si se descuida, puede derivar en abscesos o pérdida de la pieza.
¿Cuáles son las causas de una caries profunda?
Los síntomas de caries profundas suelen ser la consecuencia de un proceso prolongado. Las bacterias que habitan en la boca transforman los azúcares de los alimentos en ácidos, que van deteriorando el esmalte poco a poco. Una higiene inadecuada, el consumo frecuente de dulces, refrescos o alimentos pegajosos y la falta de revisiones periódicas aceleran el avance.
Las muelas, por su anatomía, son más propensas a acumular placa en los surcos y fosas, zonas de difícil acceso con el cepillo. Si la caries no se detecta a tiempo, las bacterias penetran hasta el interior del diente, generando inflamación y dolor. También influyen factores como la sequedad bucal o ciertas condiciones médicas que reducen la producción de saliva, elemento clave para neutralizar los ácidos y proteger el esmalte.
Cómo sabes si una caries es profunda: síntomas
Reconocer los síntomas de caries profunda permite actuar a tiempo y evitar daños mayores. Aunque cada persona puede experimentarlos de forma diferente, hay señales que suelen repetirse y que conviene no pasar por alto:
- Sensibilidad intensa al frío, al calor o al consumo de alimentos dulces, que permanece tras retirar el estímulo.
- Dolor localizado al masticar, al hablar o incluso en reposo, que puede irradiarse hacia la mandíbula o el oído.
- Manchas oscuras o cavidades visibles en la superficie del diente, especialmente en las muelas.
- Mal aliento persistente o sabor desagradable en la boca, indicio de infección.
- Inflamación o enrojecimiento de la encía cercana a la pieza afectada.
Si notas alguna de estas señales, no esperes a que el dolor aumente. La visita al dentista es fundamental para detener el avance y salvar la pieza antes de que sea necesario un tratamiento más invasivo.
¿Cómo se trata una caries profunda?
El tratamiento de una caries profunda depende de cuánto haya progresado el daño, pero siempre debe ser valorado por un odontólogo. Estas son las opciones más habituales:
- Empaste dental: se utiliza cuando la lesión aún no ha alcanzado la pulpa. El profesional limpia la zona dañada y la rellena con un material estético.
- Endodoncia o tratamiento del nervio: indicada cuando la caries llega a la pulpa. Se elimina el tejido afectado y se sella el interior del diente para evitar reinfecciones.
- Colocación de corona: tras una endodoncia o si la estructura dental está debilitada, se cubre el diente con una corona para protegerlo y devolverle su forma y función.
- Extracción dental: si la pieza no puede conservarse, se retira para evitar complicaciones. Posteriormente, puede sustituirse mediante un implante o un puente.
Tu dentista es quien determina el tratamiento más adecuado en función del estado del diente y de la salud general de tu boca. Cuanto antes se intervenga, mayores serán las posibilidades de mantener la muela y evitar el dolor.
Prevén y olvida las muelas con caries profundas en Gilardi-Tornero
Tener claro cómo saber si la caries es profunda te permite actuar a tiempo, pero la prevención sigue siendo la mejor herramienta. Una buena higiene bucodental, el uso diario de hilo dental, una dieta equilibrada y las revisiones periódicas son los pilares de unos dientes sanos.
En Clínica Dental Gilardi Tornero te ayudamos a cuidar tu sonrisa con tratamientos personalizados, tecnología avanzada y un equipo que prioriza tu comodidad en todo momento. Nuestro objetivo es que disfrutes de una boca sana, libre de dolor y con resultados duraderos.
Si sientes molestias o sospechas que puedes tener este problema, pide cita y deja que nuestros especialistas valoren tu caso. Tu salud dental está en las mejores manos.





