Cómo quitar el sarro de los dientes: consejos profesionales y soluciones

Muchas personas se preguntan cómo quitar el sarro de los dientes, sobre todo cuando empiezan a notar una capa amarillenta junto a las encías o sienten que el cepillado ya no deja la boca igual de limpia. El sarro es uno de esos problemas que aparecen de forma silenciosa, pero que puede tener consecuencias reales si no se […]
Trastornos temporomandibulares (TTM): síntomas y tratamientos

Los trastornos temporomandibulares afectan a una articulación que utilizamos constantemente y casi sin darnos cuenta. Comer, hablar, bostezar o reír dependen de su correcto funcionamiento. Cuando algo falla, el cuerpo empieza a avisar con señales que muchas veces se ignoran o se confunden con otros problemas. Dolor mandibular, chasquidos, rigidez o sensación de presión no aparecen […]
Odontólogo o dentista: ¿son lo mismo?

Odontólogo o dentista es una duda que aparece con mucha frecuencia en consulta. A veces surge al pedir cita, otras al leer información médica o incluso al buscar un profesional en internet. Los dos términos suenan distintos y eso lleva a pensar que quizá hacen cosas diferentes o tienen formaciones distintas. Esa sensación genera confusión y, […]
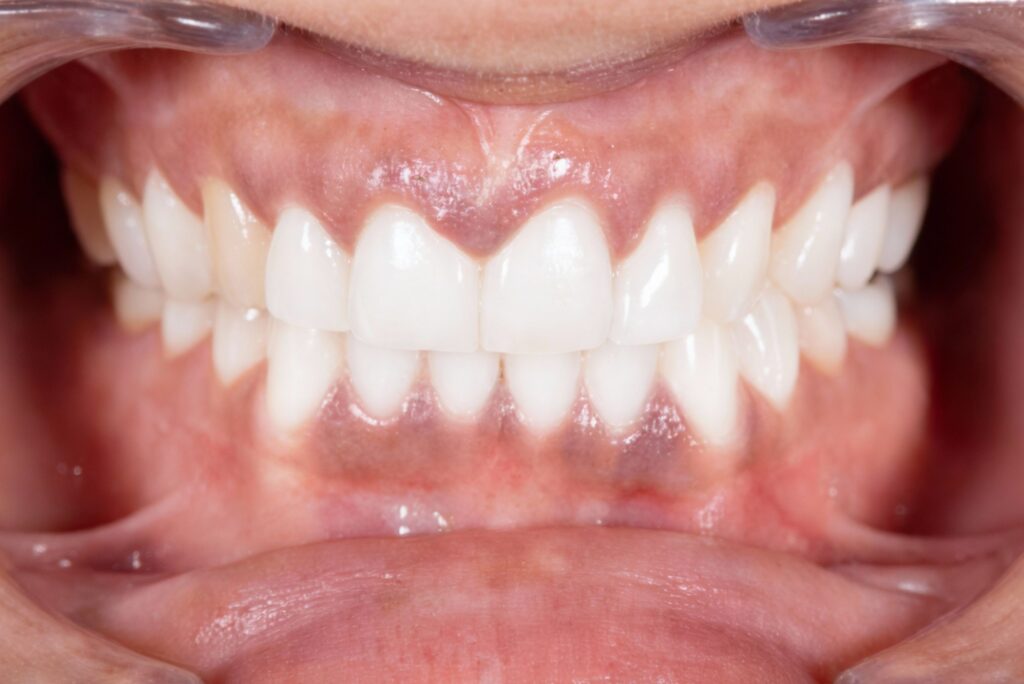
Cómo cepillarse los dientes correctamente: guía completa

Saber cómo cepillarse los dientes correctamente puede parecer un tema que, a priori, todos controlamos, pero lo cierto es que no siempre lo hacemos tan bien como sería deseable. A la larga, pueden aparecer problemas bucodentales por falta de una buena higiene. Mantener la boca sana, parte de una correcta limpieza diaria, y no siempre lo hacemos tan bien como pensamos. En Clínica Dental Gilardi Tornero, como tu dentista en Torrent de confianza, te hemos preparado esta guía […]
Encías negras: causas, síntomas y tratamientos

Las encías negras generan muchas dudas porque cualquier cambio en el color de la encía suele llamar la atención. Hay personas que las presentan desde siempre y otras que notan un oscurecimiento con el tiempo. En ambos casos, conviene entender por qué ocurre y cuándo es necesario un tratamiento. Como dentista en Torrent, en Clínica Dental Gilardi Tornero te ayudamos […]
Todo sobre la displasia dental

La displasia dental es una alteración poco frecuente que afecta al desarrollo interno del diente. A simple vista, el aspecto externo puede parecer normal, pero internamente la estructura no se forma correctamente, lo que provoca problemas que comprometen tanto la funcionalidad como la durabilidad de las piezas. Esta afección puede afectar tanto a los dientes temporales como a […]
Puente dental: qué es, ventajas y tipos

El puente dental es una de las soluciones más eficaces para recuperar la funcionalidad y la estética cuando faltan una o varias piezas. Permite volver a sonreír con confianza y masticar con comodidad sin necesidad de cirugías complejas. Su aspecto natural y su durabilidad lo convierten en una opción muy solicitada por quienes desean restaurar […]
Apiñamiento dental: qué es, tipos, causas y cómo corregirlo

El apiñamiento dental es mucho más que una cuestión estética. Detrás de esos dientes que se cruzan o se amontonan suele haber un problema de espacio que puede afectar tanto a la sonrisa como a la salud bucodental. Muchas personas lo notan con el paso del tiempo, cuando los dientes empiezan a girarse o apretarse […]
Muela con caries profunda: causas y síntomas

Una caries profunda puede parecer un simple problema dental, pero en realidad es una señal de que el daño ha avanzado más de lo que imaginamos. Cuando el esmalte y la dentina dejan de proteger el interior del diente, el nervio queda expuesto y el dolor aparece de forma repentina. Las muelas son las más […]
Mordida abierta: qué es, por qué aparece y tratamientos

¿Has oído hablar de la mordida abierta? Es uno de esos problemas dentales que pasan desapercibidos hasta que alguien se da cuenta de que, al cerrar la boca, los dientes no llegan a tocarse. Aunque puede parecer algo sin importancia, con el tiempo puede afectar a la forma de hablar, masticar e incluso a la […]